?action image=1&p=0000177306&id=bodyimage1
シェアオフィスの契約数が140契約を突破、九段下の起業家向けシェアオフィス・バーチャルオフィス『ナレッジソサエティ』venture_support株式会社ナレッジソサエティ
2018/07/10 13:00
?action image=1&p=0000177322&id=bodyimage1
ミソシル、フォロー&リツイートするだけで50円がもらえる、フォロワー還元キャンペーンを開始company株式会社misosil
2018/07/10 12:30
D11442 13 406051 0
あのデザイナーズウォーターサーバーがミッフィーと初のコラボレーション!『miffy×FRECIOUS dewo mini 』7/10受付開始company富士山の銘水株式会社
2018/07/10 12:01
D183 717 645431 0
トランスコスモス、オペレーション拠点 「マーケティングチェーンマネジメントセンター千葉市川」を新設venture_supportトランス・コスモス株式会社
investorトランス・コスモス株式会社
2018/07/10 12:01
D31033 12 569341 5
仮想通貨ウォレットを提供するGinco、ウォレットを持っているだけで様々な仮想通貨が受け取れる『Ginco Airdrop Program』の提供を開始company株式会社Ginco
2018/07/10 12:01
D30664 17 779889 0
都内でQR決済60万回以上の実績を誇る QR決済・多言語対応広告タブレット全国展開開始companyGO株式会社
investorGO株式会社
2018/07/10 12:01
D26081 15 940401 1
身近な“あるある”から「50センチ革命」を起こすスタートアップ体験。中高向けアントレプレナーシップ教育プログラム「スモールスタート」提供開始。company株式会社教育と探求社
2018/07/10 12:01
D32572 5 263419 1
世界中のどこでも無料でネットが使えるWiFiインフラ構築を目指すタウンWiFi、WiFiビッグデータを活用した「WiFiパーソナライズ接続機能」搭載companyGMOタウンWiFi株式会社
2018/07/10 12:01
D32768 4 417451 3
スピーディーに書籍化!!倉庫不要?!社長チップスが【社長本】出版サービスを開始しました!!companyesspride株式会社
2018/07/10 12:01
D19222 44 283767 0
過酷な都市生活の中で生きる大人へ。アーバンナチュラルスキンケアブランド「NATURASSIC」が、全成分天然由来のスキンケア全16商品を、本日7月10日(火)新発売!company株式会社ディライトクリエイション
2018/07/10 12:01
D15232 45 887238 0
BitStarが初の映画制作!禁断ボーイズ主演「NETSTAR~再生回数の向こう側~」MVを公開&完成イベント開催決定company株式会社BitStar
2018/07/10 12:01
D23649 8 887121 0
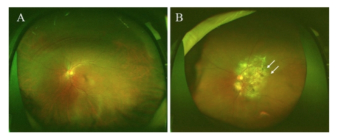
【世界初】広角眼底画像からAIを用いて加齢黄斑変性判定AUC 99%を達成company株式会社Rist
2018/07/10 12:01
D25155 55 579184 9
東京花火大祭 × プロスタキッズ 花火大会当日にYouTuberをゲストに迎えた特別イベント開催! ~プログラミング教育のプロの共演によるプログラミングイベント~ company株式会社ミスターフュージョン
2018/07/10 12:01
Fb img 160789 1
野性爆弾くっきーの公式カメラアプリが7月10日登場 写真を撮るとあなたの顔が“ホルマリン漬け”に!?company株式会社Extractor
2018/07/10 12:00
Fb img 160769 1
ねこじゃらし、ADKアーツの全社員向けにクラウド型自動エンドポイント保護サービスを導入company株式会社ねこじゃらし
investor株式会社ねこじゃらし
2018/07/10 12:00
?action image=1&p=0000177307&id=bodyimage1
モノからコトへ 訪日中国人観光客の消費変化に対応 エステサロン ITツールでインバウンド対策 「FAT BUSTERS」 x 「Beauty Park玩美花园」 2018年7月6日より提携company株式会社オーエス
investor株式会社オーエス
2018/07/10 12:00
Fb img 160782 1
自然光に限りなく近い演色AAA相当のエコリカ 高演色直管形LEDランプ「L3Aシリーズ」に6500K(昼光色)の40形・20形を新たにラインアップcompany株式会社エコリカ
2018/07/10 11:30
?action image=1&p=0000176908&id=bodyimage1
『お掃除ロボット』と『窓拭きロボット』をマンション入居者間でシェアできる宅配ボックスを利用した手軽な“シェアリングサービス” 新築賃貸マンション「クレヴィアリグゼ品川シーサイド」で試験導入開始company株式会社フルタイムシステム
investor株式会社フルタイムシステム
2018/07/10 11:30
D5362 96 152352 0
フラー、アプリ分析プラットフォーム「App Ape」を全世界に向け提供開始companyフラー株式会社
investorフラー株式会社
2018/07/10 11:01
D34726 2 808980 0
アプリコット・ベンチャーズ、創業準備中/創業期の起業家向けの無料オフィス支援プログラム「FLAP」を開始investor株式会社mint
2018/07/10 11:01
D23649 7 429458 0
RistがDeep Learningを用いた比較検査ソリューション『Deep Inspection Collatio』を提供開始company株式会社Rist
2018/07/10 11:01
D7785 342 293501 1
声優グランプリ×ジェンコ×エクスアーツジャパン共同企画 声優ヴォーカルユニット『Kleissis』(クレイ・シス)結成!company株式会社ジェンコ
2018/07/10 11:01
D8641 149 105248 0
2018年上半期 映画監督・俳優の人気ランキング発表!ヒュー・ジャックマン、松岡茉優がNo.1《Filmarks調べ》company株式会社つみき
2018/07/10 11:01
D8641 148 993575 0
【Filmarks初発表】2018年上半期 映画ランキング!満足度No.1は『ワンダー 君は太陽』『カメラを止めるな!』に決定company株式会社つみき
2018/07/10 11:01
D5362 96 152352 0
アプリ分析プラットフォーム「App Ape」、全世界に向け提供開始companyフラー株式会社
investorフラー株式会社
2018/07/10 11:01
D27416 75 952863 0
熱意が伝わる就活イベント「アクセス就活フェア」青山一丁目(駅直結ビル)にて、7月23日(月)~25日(水)3日間開催!company株式会社アクセス
2018/07/10 11:01
D6561 37 189266 2
ベンチャー経営陣の英語力向上を支援し、ユニコーン企業創出に貢献 エグゼクティブを対象とした英会話レッスン新プログラム提供開始companyビズメイツ株式会社
2018/07/10 11:01
Og
オリィ研究所 簡単な肉体労働を可能とする分身テレワークロボット“OriHime-D”を発表company株式会社オリィ研究所
2018/07/10 11:01
D18904 3 806456 0
【平成30年7月豪雨】被災者と支援者を結びつけ、経済的な復旧・復興支援を促進する「都道府県災害ボランティアセンター」無料開放のお知らせcompanyキャスレーホールディングス株式会社
investorキャスレーホールディングス株式会社
2018/07/10 11:01
D21941 32 507399 0
『日本証券業協会主催 投資型クラウドファンディング・セミナー』日本クラウドキャピタルの代表大浦学が登壇company株式会社FUNDINNO
investor株式会社FUNDINNO
2018/07/10 11:01